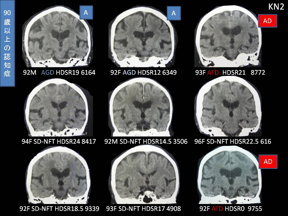
認知症ブログ H28.8.28(内容限定版54)
8月21日、品川で抗認知症薬の定量処方を実現する会第2回特別セミナーを開催
450席に会場に500名の予約があり、当日キャンセルがすくなかったため補助いすを出した。
来年の第3回特別セミナーは、8月20日(日)正午、品川に決まった。演者は長尾、河野、平川(池袋病院)である。
サマー読影セミナー
CMI(側脳室体部幅)で見てゆく認知症病型(たらこ・ちまき)
今週号は、たらことチマキの話を特集します。CT水平断で側脳室体部がたらこに見えるのは、だいたいCMIが30%を超したあたりからです。たらこにみえるのは、脳室拡大型のアルツハイマー型認知症と正常圧水頭症です。30%を超す患者は少ないですが、たらこならアルツハイマーだという意味です。前角が優位に拡大するのはチマキと呼び、ピック病です。逆に後角が拡大するのはアルツハイマーを決定づける所見で、逆チマキと言ってもよいでしょう。なぜ決定づけるかと言いますと、人間は生理的に前頭葉が萎縮しやすく、後角優位に拡大するのは非常に病的で、後方型認知症しかおきえないからです。
アルツハイマー型認知症(たらこ)
側脳室形状が、たらこのようにぼってりするのが典型的なアルツハイマーである。Cella media indexがいくつ以上になるとたらこに見えてくるかというと、30%である。
84歳男性。改訂長谷川式スケール16。リバスタッチ、アマンタジンなどを処方している陰証ぎみのアルツである。最初に会ったのは、まだ妻を介護していたころで7年前。5年間来ていなかったが2年半前から中等度認知症となって私の前に現れた。
血圧は99になることもあり、ふらつきやめまいがあって硬膜下血腫の既往がある。CTでは腦血管性認知症が否定され、たらこに見える側脳室はCMIが28.4%と、たらこ基準の30%に近い。
アルツハイマー型認知症(たらこ)5年間治療成功例
側脳室体部がたらこに広がっても絶望というわけではない。彼の側脳室はCMI 34.3%の立派なたらこである。前医のアリセプトをリバスタッチに変え、NewフェルガードLA2本にしたことで、その後5年間改訂長谷川式スケールが2しか下がらない方がいる。
いまでも奥さんは、主人が認知症だという悲しみを感じないという。ふつうに挨拶し、孫に数学を教え、デイサービスでも人気のあるごく普通の79歳に感じるという。アリセプトは一時しのぎの薬。効かないなら増量せずにやめたほうがよい。
リバスタッチもフェルガードも前頭葉血流を増やし、長期戦に強い。前頭葉を賦活して豊かで感謝できる人格を保つことがコウノメソッドの目標である。
アルツハイマー型認知症(後方型)
典型的なアルツハイマー型認知症は側脳室が後方型の拡大を示す。つまり後角が前角より大きいのである。この方は矢状断ですら後方型であることがよくわかる。CMIは38%もあり正常圧水頭症レベルの大きな脳室である。それは後角が 広がっているからである。
ドネペジルとフェルガードで写真のように 左手で右肩を叩く、ができるようになっていた。家族の評価も高い。絶対にアルツハイマー型認知症ならドネペジルがシャープに効く。
アルツハイマー型認知症フロンタルバリアント(後方型たらこ)
3年通院している75歳女性。初診時は改訂長谷川式スケールが24あったが、いまでは6で急激に進行。易怒のためウインタミン、セルシンが必要になってきている。
初発症状は迷子であったし、側脳室は後方型のたらこ(CMI 34.3%)だったので典型的なアルツハイマー型認知症である。ドネペジルも効いていて10mgまで来ていた。
しかし前頭葉、側頭葉も萎縮しており、最近の怒り方はご主人も疲弊するほどでグラマリールレベルではない。ドネペジルを5mgに減らしセルシンを追加。このような臨床経過からフロンタルバリアントであろうと思われる。
レビー小体型認知症(非たらこ)
レビー小体型認知症は、多くの患者(85%以上)が脳内に老人斑を持っており、アルツハイマー型とは兄弟のようなものであるが、側脳室体部がタラコになるということはまずない。彼のCMIは26.5%でたらこ基準に達していない。
レビー小体型認知症+正常圧水頭症(たらこ)
レビー小体型認知症単独ではタラコにならないが、正常圧水頭症が合併すると話は別である。彼女はCMI 30.7%の立派なタラコである。歩行は比較的早いが、最近大型スーパーで前方突進となって転んだという。尿失禁もない。
パーキンソン病治療薬を処方したこともあったが、合わなくて現在ニセルゴリン、アマンタジン、抑肝散となっている。アルツハイマー型認知症ではないかとも思えるが、KMナビでははっきりとレビーだと判定されている。まだ、73歳と若いのでSD-NFTということはないと思われる。
ピック病(チマキ)
63歳女性。5年間通院されている。初診時すでにグループホームにいて改訂長谷川式スケールは3、膝をこする常同運動がめだち、有名な医師からアリセプト5mgが出されるという最悪の状態だった。おいおいと夢遊病者のように話しかけてきた。
ウインタミンなどで、落ち着き、その後5年でフロンタルアタキシアも進みご主人に手引きで歩行介助されている。彼女の側脳室は前角優位の拡大でちまきのように見える。これが内側前頭葉が主体に萎縮する典型的なピック所見である。ちまきとわかれば、もうCMIはどうでもよい。多くの場合CMIは大きい値になる。
現在、ドパコール125mg、セルシン0.5mg×2を処方している。
ピック病(チマキ)
74歳女性。5年半前から1人で通院していた。17年前に夫を亡くし、次男夫婦と二世帯に同居。娘が時々看に行っている。改訂長谷川式スケールは25.5であり、馴れ馴れしくて(写真)化粧が濃いため最初からピック病とわかっていた。
そのうち、運転免許を県警に取り上げられたことを苦にして、毎週のように当院に訴えに来るようになった。当院スタッフにも有名人となった。近所のドアをどんどん叩くようになり施設に保護してもらった。施設もピック病は初めてなので困っていたが、この患者でピック病を学ばないといけないと諭しているところである。CTは側脳室がチマキとなっている。これはピック病の絶対所見である。
この方の例外的所見は、冠状断でシルビウス裂開大より海馬萎縮が先行していることである。このスライスだけを見るとまるでアルツハイマー型認知症である。しかしこのスライスにおいても前頭葉皮質萎縮の強さを見て、アルツハイマーに疑問を持たなければならない。
ピック病(チマキ)シャント手術でADL改善。今回CSH発生
70歳男性。4年半通院。当初は改訂長谷川式スケール18。易怒があった。その後、地元の脳外科医が正常圧水頭症と判断しシャント手術を施行。私はNPH所見を読み取れなかったので驚いた。ADLも改善しキャッチボールすらできるようになった。
その後フロンタルアタキシアが進行し車いす使用が増えた。CT所見は海馬萎縮が先行するタイプのピック病であり、側脳室体部は特徴的なチマキである。今回、急に歩けなくなったということで定期処方日であったが念のためCTを撮影し、両側の亜急性硬膜下血腫だった。このdensityだとおそらく出血したのは3週間ほど前と思われるが、臨床的に影響する容量に達したのが昨日と言うことであろう。
この少ない容量だと手術はしないかもしれないが、彼はもともと脳室拡大型のピックなのでCSHによる圧迫は容量が少なくても影響が出ている。シャント手術で髄液を引きすぎるとCSHを発生させるが、最近は圧バルブが進歩して、そういうことは起きにくいと聞いている。
ピック病(小チマキ)
66歳男性。まず若いことに注目してほしい。改訂長谷川式スケール18.せっかちで集中力がなく、前医で脳血流シンチの結果前頭葉血流低下が指摘されていた。
程度は軽いが彼の側脳室体部はチマキである。易怒が強いので、コントミン(12.5mg)3錠、クエチアピン12.5mg3錠、セルシン2mg3錠を使い、レミニール4mg内用液2本を使っている。
アルツハイマー型認知症フロンタルバリアント(脳室拡大型)
7年通院している78歳女性。ここ3年は車いすである。早いうちから無言症、二度童だったが、ピック病との確証はなく、高齢でもありアルツハイマー基盤かと思っている。
脳室は非常に大きくCMI=39.3%と猛烈である。冠状断で脳梁角が90度未満ではあるが、圧迫所見に乏しく正常圧水頭症の合併と積極的には言い難い。こういうケースを脳室拡大型の変性性認知症と私は読んでいる。
嗜銀顆粒性認知症(スリム)
AGDはMMSE20程度に保たれ、ピック症状を呈し進行が遅い高齢者である。萎縮中心はアルツハイマー型認知症に似ていて側頭葉内側と記載されているが、前頭葉が萎縮しているかどうかを誰も記載しようとしない。
5年半通院している85歳女性。念のため娘さんが歩行介助しているが、いちおうまだ歩ける。耳が遠いので勝手に大声で話し、認知機能は測りにくいが、子供っぽく過食で不眠がある。年齢が75歳ならCT所見からピック病と診断したいところだが、85となると病理学的にピックが考えにくくAGDを想定するしかない。AGD病変はATDとの合併が多く、イメージとしてはアルツハイマー型認知症のフロンタルバリアントのようなものである。
彼女の側脳室は意外なほどスリムである。ビンスワンガー虚血が合併すればタラコになってくるかもしれないが、虚血がないから彼女は長生きできるのである。
腦血管性認知症(スリム)
80歳女性で血圧が144/88と高めである。改訂長谷川式スケールは22で遅延再生は4/6獲得できたのでアルツハイマーらしさがない。足を組んだし易怒があるということで、CT前はピック病を疑ったが、CTでは腦血管性認知症とわかった。
Cella media indexは22.8%しかなく、非常にスリムな側脳室だった。ドネペジル5mg、メマリー5mgが地元で処方されており副作用はないとのことだったので、それ以上増量しないなら継続でよいと説明した。もし医師がドネペジルを10mgにしようとしたら強硬に断るように言っておいた(易怒があるから)。対策は、プロルベインDR朝2、夕3とした。念のため地元の実践医に移る。
腦血管性認知症(スリム)
80歳女性。BPSDはなく、改訂長谷川式スケール22.5のうち遅延再生は6/6でCTでは海馬萎縮がまったくない。ふつうに腦血管性認知症である。側脳室は健常者と同じレベル。
頭痛、肩こりがある。処方はニセルゴリン2錠、プロルベインDR朝2、夕2とした。前述の患者と立て続けに来られたので、腦血管性認知症が増えてきたのかなと思った1日である。
腦血管性認知症(スリム) レミニール+フェルガード100M成功例
2年間通院している80歳女性。改訂長谷川式スケールは2年2か月で10から11.5と良好に経緯している。フェルガード100M2本が効いているようだ。レミニールも長期戦に強い。
ほかに使っているのは、レミニール内用液4mg2本、プレタール50mg朝、リントン細粒0.3mg×2、ウインタミン4mg×3である。抑制系は妄想や介護抵抗に使っているが足に来ないように危険分散している。結果として寝たきりにならず、大成功している。
CTでの側脳室体部は、スリムである。
アルツハイマー型認知症(非たらこ)
70歳女性。元気で自動車を運転し、道に迷ったことがある。改訂長谷川式スケールは13しかなく、運転を控えるように言っても聞かない。CTでは頭頂葉萎縮と海馬萎縮がそろっており、文句なしのアルツハイマー型認知症である。しかし側脳室はたらこではない。
たらこまではいかない患者のほうがアルツハイマーでは多いが、たらこならアルツハイマーらしさがあるということを今週は説明したのである。たらこは、白質萎縮の表現、非たらこは皮質萎縮の表現である。私は前者を脳室拡大型萎縮とも呼んでおり、研修医は正常圧水頭症と間違えるかもしれない。
逆に、脳室拡大の少ない正常圧水頭症もいるわけだから、何を本質に正常圧水頭症と読影しているのかを知らなければならない。正常圧水頭症の本質とは脳室の絶対容積ではなく圧迫効果があるということである。
正常圧水頭症(CMIが30%以上)
81歳女性。1年半通院。話がかみ合わないということで初診。改訂長谷川式スケール16.CTではアルツハイマー型認知症+正常圧水頭症+虚血の所見。現在陰証のアルツハイマーが主体で、リバスタッチ9mg、ニセルゴリン1錠、メマリー10mg夕、アマンタジン75mg×朝昼を処方している。尿失禁、すり足は出ておらず経過観察中である。
正常圧水頭症の場合、CMIはまず30%を超す。
正常圧水頭症(当院でシャント再手術を依頼し改善) たらこ→スリム
1年半通院しているレビー小体型認知症+正常圧水頭症である。くも膜下出血後の二次性正常圧水頭症でシャント手術が過去に行われている。
初診時は66歳だったが、写真のように口を開けて、改訂長谷川式スケールは11しかなく語義失語もあった。便失禁もあり、徘徊するという。CTを見ると脳室が大きく、シャントが効いていないと判断。手術した病院に再手術を依頼した。
結局、脳のほうでなく腹腔でのチューブの開口がつまっていて緊急手術し改訂長谷川式スケールは20に復帰した。側脳室前角はやや開いているがピック症状はなく安定して明るく生活している。
CMIは手術によって、32.8%から25.6%に改善。正常圧水頭症の側脳室が30%がめど だということがよくわかる症例である。
現在の処方は、レミニール内用液4mg(開始用量の半分)、アマンタジン75mg×朝昼である。
再手術前の海馬は2.5+開大していたので、一瞬基礎疾患はアルツハイマーなのかなと思うだろうが、これはNPHによる圧縮であって、再手術後は0.5+の萎縮に変わっている。この海馬萎縮だとレビーか腦血管性のレベルになる。圧縮という言葉を講演で使ったのは森悦朗医師。なるほどと思った。
正常圧水頭症+神経原線維型老年認知症(たらこ)
6年通院している86歳女性。改訂長谷川式スケールは15→15とまったく進行せず、アルツハイマー型認知症ではなくSD-NFTと思われる。少し頑固なのでウインタミン4mg夕を出してはいるが、二次性パーキンソンニズムに対して先回ドパコール25mg×2で歩行距離は伸びた。
すり足歩行というほどでもなく尿失禁もない。CTでは正常圧水頭症の所見でCMIは35%のしっかりしたタラコである。どちらかというと後方型の形状。現在の処方は、ドネペジル、メマリー、ドパコール、ウインタミン、二トラゼパム。頑強な高齢者である。おそらく、私でなくてもどの医師が診ていても良好な経過をとったであろう。
正常圧水頭症+意味性認知症(脳室非拡大系)
驚くことに、脳室がまったく拡大しない正常圧水頭症がいる。彼女は意味性認知症の第三期であるが、脳外科が正常圧水頭症に太鼓判を押してシャント手術をする気満々だった患者である。CMIは26.7%で、健常者と同じくらい側脳室体部はスリムである。しかし脳表への圧迫効果は十分にあっていたることころに川や池がある(脳溝のしわ寄せ)。
ドネペジルを増やしたときから易怒が強くなって、施設から抑制系の増量を要請された。結局ドネペジルは中止し、ウインタミンは15mg×3、メマリー5mg×2とした。
レミニール1
釣り鐘様作用を示したアルツハイマー型認知症
前頭側頭葉変性症(FTLD)にはレミニールを第一選択にしている。意味性認知症には合うし、4mgだけならピック病にも使える。愛知県はレセプトカットされるので、4mg内用液4本処方し、1-2本飲むという操作をしている。彼女はアルツハイマー型認知症+血管因子だが、混合型の可能性もあるのでレミニールを選んだ。
3年通院している74歳女性。易怒系なので慎重に4mg3本で長期(1年半)やってきたが、一度8mg錠を2錠にしてみたところ、1回量が多いために頭がボーとするという副作用が出て4mg3本に戻した。メマリー、レミニールは多すぎると脳機能をかえって落とす薬である。
多くの神経内科がベルシェープ理論が理解できない。副作用処理はコウノメソッド実践医が行っているのが現状である。PSPに対するパーキンソン病治療薬も多すぎると薬の良さがでない。減らすだけで患者は、楽になることが多い。
KONO method dermatology 1
フラナガン水素は、他社と比較にならない高品質の強力抗酸化作用
現在私は、アトピー性皮膚炎を治すためフラナガン水素を5月26日から1日6カプセル服用している。8月18日に開発した社長と面談。彼は理工学部有機物理化学の大学院を修了した学識の高い人だった。27期めの父親の会社でサプリメント部門を担当。市販されている水素とフラナガン水素を比較する実験を見せてくれた。
メチレンブルー判定試薬は、水素があればブルーが透明になる。他社のものは、透明にならなかったがフラナガンは瞬時に透明化した。フラナガンは100ccの水に1g溶解させると23時間も水素が出続けるのだという。(分析会社に外注した結果。ガスクロマトグラフィー使用)94%は水素で、220ccも水素が出ていたという。
他社のものは、ある博士が開発したものだが、ポータブル溶存水素計で、447ppmしかなかった。フラナガンは1400ppmだった。(条件によっては、1600ppmに上がってゆく)アトピーマウスに1か月フラナガンを投与すると、コラーゲンが1.5倍になっており、皮膚にうるいが出る理由が証明された。
フラナガン水素は私は5日目から効果がわかったが、重症アトピーだった社長は、顔は1か月で治ったが、もっとも治りにくかった指は半年後に治ったという。私も改善したのは頭から膝までで、下腿はもう一つである。このように部位によって治る速度が違う。ただ、上半身のうるおいは、本当に小学校低学年のころに戻ったような(生まれ変わったような)美しさである。Tシャツを脱いで裸のままで過ごしても乾燥しない。このような気分は50年ぶりである。
私の血清TARCは何度もこの認知症ブログで発表してきたとおり、着実に下がっているが、プロトピック(免疫抑制軟膏)でTARCが下がっている患者は、フラナガン水素でTARCが低下しにくく、数字としては少し上がる人もいるが、それは悪化したということではない。名古屋フォレストクリニックで購入したHさんは、劇的に改善したと会社に電話してきたという。
1か月のクリニックのトライアルでは、50%以上かゆみが改善した患者が27人中の13人だったという。これは1か月だけの話である。またステロイドやプロトピックを使っている人は効きにくいのではないかというデータが出ているが、まだ症例が少ないのであきらめるのは速いだろう。
この会社は、経済産業省から高額な補助金を受けて動物、ヒト試験を行い、効果が確認されたあと都内2か所のクリニックでパイロットスタデイを行い、昨年パッケージができたばかりである。サプリメントの会社というのは、学術性や品格にレベルに差がありすぎる。宣伝や価格にまどわされないことが大事である。医師の説明を聞いてから購入するシステムに決めたこの会社も、本当に国民の健康に寄与したいと信じているからであり、なにより彼自身が重症アトピーだったということに消費者は安心して使えばよいと思う。フラナガン水素を発生させる物質の配合比は決してまねできないので、この会社さえ選べば安全やいくらかの効果は保証される。
フラナガン水素がほかの水素より抗酸化作用が強い理由は、電子が多いからであるが、小学生にそれを説明するには、コーテイングを紙やすりではがしたくぎを水につける実験でわかるだろう。「くぎ試験」と呼ばれる標準化されたテストである。某社の水素を入れてもくぎはすぐに錆びるので水素がほとんど出ていないことがわかる。フラナガン水素は高濃度で1カプセル入れただけで1か月以上錆びないという驚異の証拠を見せつけた。
名古屋フォレストクリニックで販売しているフラナガンは、皮膚を湿潤させる栄養素も入っており高濃度ではない。この実験につかったのは、全部水素のカプセルである。それにしても、ずっと水素が出ていることを考えると、このサプリメントが高額で購入できない方でも1日2カプセルだけでも長く飲み続ければ、あとで効果が出る可能性が高い。早く治したい人は6カプセルと言っているだけである。
今回、社長がアトピーだったという理由で、アトピーサプリという名目で扱っているが、酸化に関連した疾患(寿命も)なら何でも効くはずである。アトピー性皮膚炎の患者を多く扱っているクリニックで臨床トライアルをしたい医師、ほかの疾患で基礎実験をしてみたい教室があれば社長が面談に行くと思うので声をかけてほしい。
名古屋フォレストクリニック フラナガントライアル係 FAX 052-624-4005
(住所、医師・筆頭研究者氏名、メルアド、電話、FAXを記入)
前頭側頭葉変性症(FTLD)1
笑い上戸はFTD-FLD type。診断に6年半かかった
72歳女性。65歳で初診なので初老期認知症である。初診時改訂長谷川式スケールは14で遅延再生が1しかとれなかったのでアルツハイマー型認知症のフロンタルバリアントだろうと思っていた。その後ピック病に診断変更し、この8月27日にFTD-FLDだと気づいた。6年半かかった。
笑い上戸の認知症を診た時に、それは前頭葉萎縮による脱抑制の一種だとはわかるが、FLDタイプの特徴だと気づかないものだ。先日も長期観てきた患者(グループホーム)をFLD typeと気づいた。2人とも女性でドネペジル高用量でも易怒や反社会行動がでないという特徴がある。そして子供っぽく、帰ろう帰ろう と家族をせかす。特別抑制系を必要とすることもなく施設ではうまくやってゆけるところがピック病とは違う。
LPC症候群1
みごとなハミングバードサインなのにCBDと診断されていた
71歳女性。明確な構音障害があってふらつく。手の不器用さはない。傾眠なし。MRIではみごとに中脳が萎縮していて、文句なしのPSPだと思うのだが、神経内科がCBDと診断しているという。コウノメソッド実践医の親戚ということで、すでにコウノカクテルを始めていたが、名古屋フォレストクリニックの近くに本人が住んでいるということで紹介となった。
この実践医は外科系が専門であるが、ちゃんとPSPだと思いますと書かれてあった。一部の実践医は、すでに神経内科医より診断、治療能力とも上を行っていると思われる。もちろんみな神経内科医ではない。いままでの生涯教育のあり方、教育内容では達成できなかったすばらしい現象だと思う。
治せるということが、他領域に乗りだそうと医師を勇気づけることは間違いない。難病だから治りません、で終わっていた領域に抗酸化療法の新風で患者さんに希望の灯をともしてゆきたい。
250年前のイギリスの医療は未開拓だった。床屋が外科をしていたくらいである(床屋の赤と青の回転灯は動脈、静脈の意味)。ハンターは数千の解剖をして体内の脈管走行を知り尽くしていた。のちに種痘を開発したジェンナーが3年間弟子入りしている間、「書物より実践」を説いたという。牛痘にかかった女性は天然痘にかからないといううわさを、現地で取材して確認した。
私の医学書には参考文献が少ない。その理由は、多くが自分で発案したからである。それを人は「エビデンスがない」とののしっている。エビデンスは、コウノメソッドを実践してゆく医師たちが証明してくれればよい。論文を書く時間より、次の患者との出会いがほしい。医療を進歩させるのは、いつも非常識と言われたことである。
コウノメソッド実践医 待望の群馬県、神奈川県横須賀からエントリー!
ドクターコウノ2016年講演
●9月4日(日)点滴療法研究会設立10周年特別セミナー(90分 ベルサーレ三田、東京)認知症治療とアンチエイジングの融合 ーコウノメソッド-
会場は品川駅からタクシーで5分。9:10-15:50 ランチョンセミナーあり。懇親会16:00-17:00(私も出席します)。演者5人で私は2番目の10:30-12:00。カナダで上演した動画をお見せします。参加費は、マスターズクラブ会員が3万円、一般6万円、同伴スタッフ(コメデイカル限定)1.5万円となっています。料金振込みの締め切りが9月2日(金)正午。お問い合わせは、点滴療法研究会事務局(品川区)電話 03-6277-3318
●9月25日(日)日本ホスピス・在宅ケア研究会主催 黒田裕子記念神戸フォーラム 神戸コンベンションセンター国際会議場大ホール(700名)14:00-16:30 コウノメソッドで認知症の人も地域で暮らせる。上記研究会のHPから申し込み。
会員3000年 非会員4000円(25日のみ参加なら-1000円)。24日(土)17時以降の懇親会(5000円)に私も参加します。問い合わせ:事務局(梅垣) 電話078-335-8668
kobe@hospice.jp
kobe@hospice.jp
●11月5日(土)夜7:30-9時 徳島県臨床内科医会講演会(徳島県医師会館)
東洋医学的発想・アンチエイジングで認知症を改善させるーコウノメソッド解説ー
問い合わせ:ツムラ 書籍・DVD販売あり。
●11月6日(日)朝10時―正午 徳島一般講演 徳島駅から徒歩10分「とくぎんトモニプラザ(300席)」認知症介護のコツーくすりの効用と副作用―
●11月30日(水)18:30-19:30 長久手南クリニック認知症勉強会
認知症患者の前頭葉機能を考える
ドクターコウノ2017年講演
●2月26日(日)第三回認知症治療研究会(パシフィコ横浜)
●3月19日(日)NPO法人 くすり・たべもの・からだの協議会 静岡市 午後2:30から90分(理事長 山田静雄 静岡県立大学大学院薬学研究院)対象:一般市民、薬剤師など
●6月3日(土)19-21時 第4回認知症サポート医等連携の会(千葉県医師会館3階会議室)
●8月20日(日)正午 社団法人抗認知症薬の適量処方を実現する会 第三回特別セミナー 品川 演者:長尾、河野、平川
認知症治療研究会1
第三回研究会から公募演題(3人枠、1人10分)募集中
平成29年2月26日(日)にパシフィコ横浜で第三回認知症治療研究会が行われる。第三回研究会から公募演題募集。応募資格は会員限定、職種を問わない。選ばれた3名は1人10分が与えられる。発表内容は、治療、予防、介護、基礎、診断など特に制限はない。
●発表内容を1000字程度にまとめて事務局にメールする。
●締め切りは平成28年9月14日(水)。応募多数の場合は世話人で選考する。
●発表内容は、研究会誌に掲載される。(掲載誌は国会図書館に寄贈される)
●マスメデイアが多く集まる研究会なので、世間に発信したいことをぜひエントリー願いたい。
なごやめし1
世界の山ちゃん死す-59歳解離性大動脈りゅうー
なごやめしの代表格となった手羽先であるが、創業者の突然の死は全国ニュースとなったようである。九州から名古屋に出てきて、最初に手羽先料理を考案したのが、風来坊である。コショウが利いていて甘辛くて実においしい。それをまねしたのが山ちゃんで、創業者もテレビで堂々とまねしたと公言してきた。
風来坊の展開力が低いため、山ちゃんのほうがまたたくまに広まった。だから、地元でない人は名古屋の手羽先は山ちゃんだと勘違いしているかもしれない。私は山ちゃんに金山で1回しか行ったことはない。甘さが少なかったので気に入らなかった。
逆に、緑区徳重のマーケットで風来坊の持ち帰りを買ったことがあるが、自宅につくころには非常にまずかった。風来坊のイメージはものすごく落ちた。マーケットだから現場で作っていないのだからまずいのはあたりまえ。それなら店を出さないほうがい。企業努力が足りないと感じた。
山ちゃんは高校時代、小指が折れているのに割り箸を添え木にして柔道の試合に出たという努力家であるらしい。スタッフの世話にもいろいろ苦労しているようだ。彼の戦略は自分が立派に見えないように爪を隠していることだと思う。喪主が奥さんであることに少し将来の不安を感じた。
味噌煮込みは、日ごろさがみで十分満足していたが、初めて中日ビル地下の山本屋で食べたら絶品であった。本家のほうがすごいと思った。時代がかわれば創業者も変わる。本家とまねしたほうでは、本家のほうがずっといいとは限らない。途中で努力を怠ると消費者の評価は下がり、どちらが本家なのかわからなくなる。本家と名乗るなら、それなりの持続的努力が必要だ。
今週のことば 人生はやりなおしたくない
NHKスペシャルの内村選手の闘いに感銘を受けた。内村は羽田空港に帰ってきたとき、東京オリンピックへの出場意欲を口にしたが、6種目すべて行うことの体力の必要性については、NHKスペシャルでいやというほど見せつけられたので、4年後は厳しいと言わざるをえない。団体戦で、白井が6種目、内村が3種目で押さえるというのなら可能かもしれぬ。
最後の着地を1発で止めるということにはすごい体力がいるということがわかった。2-3回バウンドしてしまうのは、疲れている証拠なのだ。団体戦で、日本は一番体力を使う床が最後になるという最悪のローテーションに入った(予選が4位だったため)。日本選手団の最後の最後が内村の床の着地だった。そのとき3回バウンドしてしまった。体力の限界だったのだろう。
内村は、個人総合のウクライナの選手との激闘を振り返って、「やり直せるとしたらどの種目をしたいか」というNHKの質問に対して「二度としたくない」と語った。それを聞いて私も人生をやりなおしたくないと思った。
私は、ことあるごとに医学部に入れるような頭ではなかったと語って「冗談でしょ」と笑われる。
たまたま推薦入試で12月に受かってしまったので、数学Ⅲもできていなかった。大学はできたばかりで3期生。多くが1浪以上。大阪大学を落ちたような猛者ばかりだった。私は、寮生からも「いつまでも河野は高校生みたいだ」と言われた。やせ細って色白で「蚊」と呼ばれていた。
毎年2週間続く試験が2回あった。必ず追試を受けていた。得意だったのは哲学、ドイツ語くらい。ねっからの文系だった。ノートだけはしっかりとったから、盗まれたときは皆が持っていた私のノートのコピーで完璧に再生できた。ノートは横済みにすると高さが1.5mくらいになった。いまでもインターネットをつなげられないなど電子系はさっぱりで家族から非難されている。
中学1年から薬学部に入らないといけないという号令をかけられ、勉強から逃れられなかった。中学1年から高校3年までの間、はやっていたテレビ番組はまったく知らない。だから12年間の人生のやり直しは絶対にお断りだ。私は勉強が大嫌いなのである。文系なのに暗記も絶対にしたくない。バカというより頭が弱い。体力もない。ただ、寝るだけが楽しみだった。
私の人生は、癌にならないと仮定してもあと20年前後。寿命を80年にしてあげるからやりなおしなさいと言われても絶対に断りたい。それくらい私は、医師になれたことを奇跡に思っている。永平寺で「大海の一針」と教わった。この世に生まれてくることがいかに奇跡か、祖先の1人でも欠けていたら自分は生まれてこなかったという言葉である。私は言いたい。自分が医師になったことは、名古屋港の一砂である。とにかく、苦しかった。
いま、コウノメソッド実践医には、京都大学、東京医科歯科大学など「まじか」と思えるほどの秀才の先生もいる。俺の偏差値、わかっているの?俺でいいのか? と彼らに確認したいほどだ。おそらく、今の状態に私がなれたのは、未開の分野を切り開くのは医学書でなく患者さんだと悟っていたからであろうと思う。
臨床医は学者でなく職人にならないと治せない。だから、結構バカでも名医になることは可能である。なぜなら患者さんは、機械ではないのだから。そして、患者さんの心をつかむ技には文系の能力が必要である。数学・物理の得点に荷重する大学は、どのような医者を育てるのか心配である。
今年の流行語大賞は、安倍マリオ?
ポケモンGOが日本で配信が始まったのは、金曜日の午前10時だった。この大騒ぎを見て、今年の流行語大賞は、ポケGOに決まったなと思った。予想通り8月下旬には徳島、愛知で死者3人(よそ見運転による歩行車の交通事故)も出た。
ところが、リオの閉会式で東京のプレゼンの際に安倍総理が土管からマリオの恰好をして飛び出した演出は世界を驚かせた。その後も日本に好意的な書き込みが世界から寄せられ、小池都知事を嫉妬させるに十分だった。自民党は、総裁の任期規程を改正してでも安倍氏の3期続投を画策しており、それは実現するに違いない。
オリンピック会場が京都でない限り、日本でのオリンピックは伝統ある国、日本だけを押し出してゆくわけにもいかない。やはり日本が国際的に知られるのはアニメやポップカルチャーになったいま、あのデジタル的な演出が世界から期待されているし、そうせざるを得ないのだろう。
閉会式の日本のプレゼンを動画で見ようと思って、最初は「閉会式 日本」で検索していたが、最近は「安倍 マリオ」が検索キーワードに上がってきているようだ。4年後に自分が健康であれば、開会式と柔道を休診にしてでも観に行きたいと思うが、鈴鹿のF1がはやったときの抽選倍率、1/100をはるかに超すことが予想され、夢のまた夢という感じである。
次の東京オリンピックが来る頃は、私は112歳(笑)。そんなバカげた話を外来で患者さんとするこの頃である。とりあえず小学生6年のときに観た、名古屋城のお濠を周回した聖火ランナーをまた同じところへ観に行きたいものである。



























































